6 年
手机商铺
入驻年限:6 年
卡梅德-小智
天津 武清区
抗体、技术服务、体外诊断、原辅料包材、细胞库 / 细胞培养、ELISA 试剂盒
生产厂商
![科研级Tefibazumab(替非组单抗) Anti-Fibrin-binding Surface Epitope Clumping Factor A重组抗体 Fibrin-binding surface epitope clumping factor A[Staphylococcus aureus]参照抗体](https://img1.dxycdn.com/p/s14/2025/0725/806/0044791190482468491.jpg!wh200)
科研级Tefibazumab(替非组单抗) Anti-Fibrin-binding Surface Epitope Clumping Factor A重组抗体 Fibrin-binding surface epitope clumping factor A[Staphylococcus aureus]参照抗体
品牌:卡梅德/KMD Bioscience
¥500 - 3200
咨询
科研级Vedolizumab(维多组单抗) Anti-ITGA4 & ITGB7重组抗体 ITGA4 & ITGB7参照抗体
品牌:卡梅德/KMD Bioscience
¥500 - 3200
咨询公司新闻/正文
162 人阅读发布时间:2026-01-14 16:00

2023年6月,由段招军研究员团队联合完成的研究成果发表于《中国人兽共患病学报》。该研究成功构建出高效表达人呼吸道合胞病毒(HRSV)融合前F蛋白的重组人5型腺病毒,凭借AM14和D25单克隆抗体的精准筛选,攻克了HRSV疫苗研发中“稳定维持核心免疫靶点构象”的关键难题。
一、背景
人呼吸道合胞病毒(HRSV)是全球范围内威胁人群健康的重要病原体,尤其对5岁以下婴幼儿、老年人及免疫功能低下人群危害显著。数据显示,2019 年全球约3300万5岁以下儿童感染HRSV,超13万儿童因此死亡。
目前,临床治疗依赖的帕丽珠单抗价格昂贵、半衰期短,仅适用于特殊人群,而且2023年一款HRSV疫苗Arexvy获批上市,但仅针对老年人群体。因此,研发安全、高效、覆盖更广泛人群的HRSV疫苗,成为WHO优先推荐的公共卫生任务,而融合前F蛋白(PreF)作为HRSV激发保护性免疫的核心靶点,成为疫苗研发的关键突破口。
二、人5型腺病毒载体优势
重组腺病毒载体是当前疫苗研发领域的成熟技术路径,其中人5型腺病毒(Ad5)载体具备多重优势:
(1)感染宿主广泛,尤其具有呼吸道黏膜嗜性,完美匹配 HRSV 呼吸道感染的致病特点,适合开发黏膜疫苗;
(2)载体容量大、基因转导效率高,能高效介导外源基因(如HRSV PreF 蛋白基因)表达;
(3)所表达的蛋白接近天然构象,能精准激发机体免疫应答;
(4)易于构建和体外扩增,可获得高滴度重组病毒,且安全性已在流感、新冠等疫苗的临床研究中得到验证。
将Ad5载体与HRSV PreF蛋白结合,研发重组腺病毒载体疫苗,成为解决 HRSV 防控难题的重要方向,而筛选能稳定维持PreF构象的蛋白突变体,是该疫苗研发的核心步骤。
三、AM14/D25 单克隆抗体贯穿研发关键环节
本研究的核心目标是筛选出能稳定维持 HRSV A 亚型PreF构象的F蛋白突变体,将其插入非复制型人5型腺病毒载体中构建重组腺病毒,为后续疫苗评价提供基础。核心方法是形成“突变体构建-构象筛选-载体构建-验证”的闭环:
(1)首先,构建 5 种 F 蛋白突变体真核表达质粒(SCG3M、SCG5M、PreF、PrefusogenicF、PostF),并优化密码子、替换信号肽以提升表达效率;
(2)其次,转染 HEK293 细胞后,采用夹心法 ELISA,以 AM14 和 D25 为检测抗体,筛选能稳定结合两种抗体的突变体—仅能同时识别SiteV和SiteØ 表位的突变体,才是真正稳定的PreF构象;
(3)然后,将筛选出的SCG3M和SCG5M突变体基因,通过同源重组插入 Ad5 载体,构建重组腺病毒(pAd5-SCG3M、pAd5-SCG5M);
(4)最后,对重组腺病毒进行包装、扩增、纯化,通过Western blot、Native-PAGE 等验证F蛋白表达量、构象及三聚体结构。
注:A为5种不同F蛋白突变体结构图:B为单克隆抗体D25检测F蛋白突变体构象;C为单克隆抗体AM14检测 F蛋白突变体构象
图1 5种不同的F蛋白突变体及单克隆抗体D25和AM14对F蛋白突变体构象鉴定
ELISA 结果显示,5 种突变体中仅SCG3M和SCG5M能与AM14(SiteV 表位)和D25(SiteØ 表位)同时稳定结合(复孔验证结果一致);PreF和 PrefusogenicF仅能结合D25(SiteØ),无法结合AM14(SiteV);PostF(融合后构象)与两种抗体均仅为微弱结合,证明SCG3M和SCG5M 是稳定维持 PreF 构象的候选序列。
图2 pAd5-SC-3M和pAd5-SC-5M的PCR鉴定
将 SCG3M和SCG5M基因插入Ad5载体后,通过PCR扩增鉴定,在 pAd5-SCG3M和pAd5-SCG5M中均扩增出1820bp的目的条带,与预期大小一致,测序结果进一步证实外源基因插入正确,重组腺病毒质粒构建成功。
注:A为单克隆抗体D25检测重组腺病毒 F蛋白融合前构象;B为单克隆抗体AM14检测重组腺病毒 F蛋白融合前构象
图3 两种重组腺病毒转染HEK293细胞后表达F蛋白前构象鉴定
重组腺病毒转染HEK293细胞后,收集上清液进行ELISA检测,结果显示 pAd5-SCG3M和pAd5-SCG5M仍能与AM14和D25特异性结合,空载体pAd5-vector与两种抗体均无结合反应,证明重组腺病毒表达的F蛋白持续维持 PreF 构象,未发生构象漂移。
注:A为10倍镜HEK293细胞完全病变(CPE显微镜图);B、C和 D分别为pAd5-SC-3M、pAd5-SC-3M和pAd5-vector三组样本纯化后电镜图(100nm)
图4 HEK293细胞病变和氯化铯梯度纯化后重组腺病毒的电镜图
经氯化铯密度梯度离心纯化后,电镜观察显示 pAd5-SCG3M、pAd5-SCG5M 和空载体均为结构完整、大小均一的腺病毒颗粒;有限稀释法测定滴度,pAd5-SCG3M为2.016×1010 IU/mL,pAd5-SCG5M为2.52×1010 IU/mL,空载体为2.948×10¹¹IU/mL,高滴度满足后续动物实验需求。
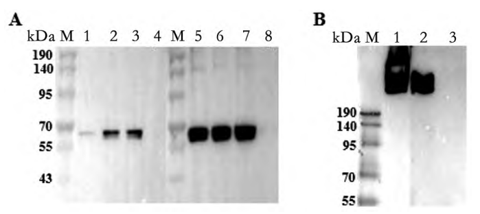
注:A:1为pAd5-SC-3M(107个/孔);2为pAd5-SC-3M(108个/孔);3为pAd5-SC-3M(109个/孔);4,8为pAd5-vector(109个/孔);5为pAd5-SC-5M(107个/孔);6为pAd5-SC-5M(108个/孔);7为pAd5-SC-5M(109个/孔)。B:1为 pAd5-SC-5M(109个/孔);2为 pAd5-SC-5M(109个/孔);3为pAd5-vector(109个/孔)病毒感染滴度完全病变后各取20μL加入蛋白胶电泳
图5 SDS-PAGE分析重组腺病毒(pAd5-SC-3M 和pAd5-SC-5M)感染细胞后外源基因F蛋白表达情况和NativeGPAGE分析F蛋白三聚体
SDS-PAGE检测显示,pAd5-SCG3M和pAd5-SCG5M均能高效表达约 68kDa 的F蛋白单体,且pAd5-SCG5M的表达量显著高于pAd5-SCG3M;Native-PAGE 检测显示,两种重组腺病毒表达的F蛋白均以三聚体形式存在(相对分子质量约为单体的3倍),与天然HRSV F蛋白结构一致,为激发免疫应答提供了结构基础。
综上,本研究首次通过 AM14和D25单克隆抗体的精准筛选,获得了两种高效表达 PreF 构象的重组Ad5载体,解决了HRSV疫苗研发中“如何稳定表达免疫原性核心靶点”的关键问题。单克隆抗体AM14和D25均购自天津卡梅德生物物科技有限公司(简称“卡梅德生物”)。
卡梅德生物多年来致力于蛋白与抗体表达领域的研究,不仅拥有覆盖鼠、兔、豚鼠及羊驼等多物种的高质量单克隆抗体产品,而且提供多物种单克隆与多克隆抗体制备服务。依托五大核心技术平台,我们提供从抗原设计到抗体应用鉴定的一站式、可定制的技术服务,交付具有pM级高亲和力与高特异性的抗体产品,助力您的科研成果转化。
参考文献
[1]马亚林,柴鹏弟,王金冬,等.表达呼吸道合胞病毒融合前F蛋白的重组人5型腺病毒的构建[J].中国人兽共患病学报,2023,39(06):515-522.
[2]李红欢,王泽轩,乔彦杰,等.表达PRRSV NADC30-like GP3重组腺病毒的构建及小鼠免疫效果评价[J].中国兽医学报,2025,45(11):2309-2317.[3]马培凯.PD-L1抑制剂协同治疗性HPV16重组腺病毒疫苗的靶向抗肿瘤作用研究[D].浙江省医学科学院,2025.